Захватите необходимый видимый свет отображает Fundus внутри камера Fundus миллисекунд не Mydriatic
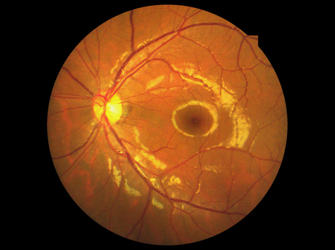
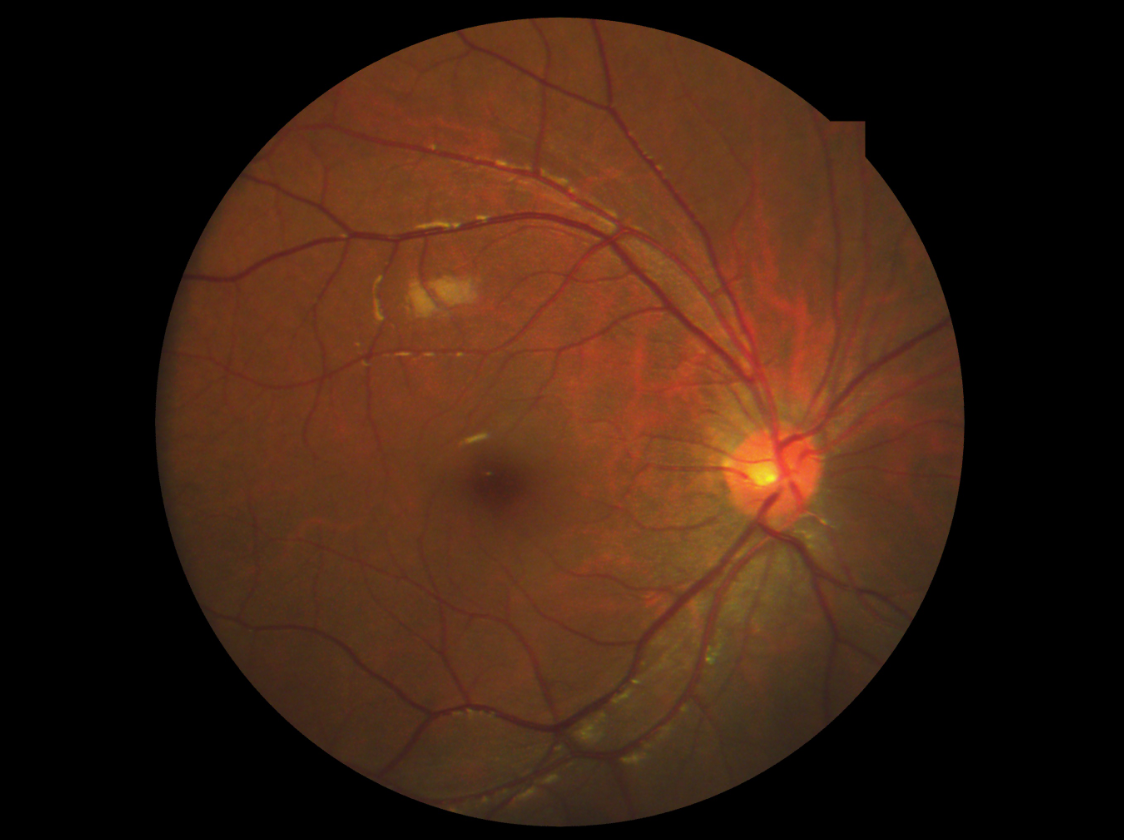
Как ключевой шаг диагноза и обработки, рассмотрение fundus играет весьма важную роль в офтальмологии, и своя значительность не ограничена к диагнозу ophthalmological заболеваний. Потому что fundus богат в разнообразие артериовенозных сосудах, рассмотрение fundus стало важной основой для контролировать разнообразие внутрирастительные заболевания. Сравненный с рассмотрением fundus endoscopic убытоков fundus, не Mydriatic камера Fundus имеет преимущества интуиционизма, точности и простоты в использовании, которые могут обеспечить более ценную ссылку для офтальмологов.
|
Режимы приема
|
Не Mydriatic камера Fundus |
|
Область видимости
|
50°
|
|
Расстояние деятельности
|
17mm
|
|
Минимальный размер зрачка
|
≥2.8mm
|
|
Режимы фокуса
|
Автоматический/руководство
|
|
Режимы выдержки
|
Автоматическое /manual
|
|
Деятельность
|
Автоматическое /manual
|
|
Фотография
|
Камера SLR
|
|
Камера
|
CCD
|
|
Компенсация Diopter
|
±25D
|
|
Фиксирование
|
Внешнее фиксирование/внутреннее фиксирование
|
|
Свет голевой передачи автофокуса
|
Ультракрасное СИД
|
|
DICOM 3,0
|
Да
|
|
Порт AI изготовления на заказ
|
Да
|
Принципы деятельности не Mydriatic камеры Fundus
RetiCam 3100, основанное на близко-ультракрасной светлой технологии обработки изображения, может захватить необходимые изображения видимого света fundus, который подвергли действию видимого света в пределах миллисекунд (отсутствие достаточного времени для зрачков сжать).
Что особенности нашей не Mydriatic камеры Fundus?
1. касание Onc-ключа, изображение получило автоматически
2. Двойная система камер, получает положение фокуса точно и быстро
3. Не-mydriatic, автоматический фокус, автоматическая выдержка
4. Умная деятельность: автоматический, простой, быстрый
5. 10,1 экран касани-цвета дюйма TFT со сжатым дизайном интерфейса, каждая индикация представил ясно
Первый шаг: данные по входного сигнала терпеливые
Второй шаг: отрегулируйте eyeline для того чтобы размещать на растояние зоны зрачка, центрального положения не необходим
Заключительный шаг: нажмите «сфотографируйте», машина двинет остатки подбородка и найдет центр зрачка автоматически, фокус автоматически, выдержка автоматически, сфотографированный автоматически не позднее 10 секунд.




Фокусирующ на 2 главных проблемах здравоохранений отроческой близорукости и пожилой офтальмологии, наша компания исследует новое оборудование диагностики и обработки для офтальмологии, начинает недорогие применимые продукты технологии, осуществляет индустриализацию, уменьшает цену социальной системы медицинских и здоровья, и служит стратегические потребности национального здоровья. Компания всегда придерживается «высокотехнологичного, нового зрения» для концепции развития предприятия. Нам имеем сильную техническую силу, награждали 11 патент, и получили аттестацию качественной системы 13 485. Био устанавливает эффективную выходя на рынок команду и идеальную систему послепродажного обслуживания для того чтобы обеспечить медицинское оборудование с самым высоким стоить представлением и дотошным обслуживанием.
