Оборудование камеры Fundus сканирования лазера профессиональное офтальмическое с Fundus отображая размер зрачка FOV 160° минимальный 2 mm
Обзор продукта
Технология лазера ведущей и отечественной инициативы Китая Confocal просматривая, осуществить отражение Fundus и капилляр
воображение флуоресцирования.
Особенность
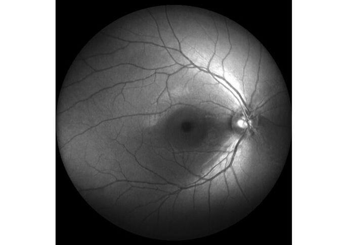
| 1 | ![]() |
Инфракрасный (NIR) |
1) Ясно наблюдать относящийся к роговице anterior мембраной и относящийся к роговице кистозным отеком 2) Удобный, отсутствие стимулирования 3) Сильный прорезывать |
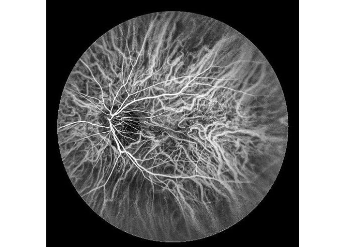
| 2 | ![]() |
Ангиография флуоресцеина Fundus (FFA): Ретинальное циркуляторное изменение |
1) «Золотой стандарт» для того чтобы судить заболевание сетчатки 2) Отразить физиологопсихологическую патологию ретинальных кровеносных сосудов к капиллярам 3) Всесторонне проверить заболевания незамеченные в нормальном рассмотрении fundus |
| 3 | ![]() |
Красный освободите (RF) | Наблюдать ретинальным слоем нервного волокна, оптическим диском, мембраной Epiretinal, ретинальными створками и цистами. |
| 4 | ![]() |
Изображение лазера multicolor fundus (Multicolor) | Изображение лазера multicolor имеет более диагностическое значение для разнообразие заболеваний fundus включая DR, и его можно использовать более ясно для изображения с небольшим зрачком и замутненности диоптрических средств массовой информации |
Случаи








Преимущество
| 1 | Точный | 4 режима изображения: FFA/RF/NIR/MULTICOLOR, оптически разрешение 5um |
| 2 | Более быстро |
1) Широкий дизайн объектива взгляда поля 100°/60°/30° оптически, точное воображение 2) Автоматическая мозаика изображения, 2 изображения может покрыть все воображение сетчатки |
| 3 | Удобный |
1) Не mydriatic (минимальный размер зрачка как низко как 2mm), смогите быть использовано для ясного воображения пациентов катаракты 2) Отсутствие внезапного/слабого света для лучшего опыта |
| 4 | Стабилизированный |
1) Новое поколение источника лазерного луча, более стабилизированное 2) Интегрированный дизайн, простой и прочный |
Спецификация
| 1 | Модель | CRO |
| 2 | Имя | шириной с Ультра angiograph сетчатки сканирования лазера поля - CRO |
| 3 | Отображать режим | FFA + RF + NIR + MULTICOLOR |
| 4 | Объектив оптически просматривать | Оптически сигнал 100°/60°/30° |
| 5 | Fundus отображая FOV | 160° |
| 6 | Источник света | Твердотельный лазер |
| 7 | Частота рамки | 16 fps |
| 8 | Отслеживать Fundus | Усреднять отслеживать в реальном времени |
| 9 | Минимальный размер зрачка | 2 mm |
| 10 | Разрешение убытока | 5 um |
| 11 | Выход видео/изображения | Форматы видео или изображения Tiff Jpg Avi поддержки |
| 12 | Технология Microclear уникальная |
шириной с Ультра дизайн полевой линзы + fundus в реальном времени отслеживая + динамический оптически сигнал + confocal сканирование лазера |