| Система шкафа | Апертура рамки | 71.5cm |
| Угол наклонения рамки | ±30° | |
| Просматривая коллимирование | 2x1.1mm 8x0.55mm 16x0.55mm 16x1.1mm 32x0.275mm |
|
| Частота отсчетов | 5400 view/360° | |
| Собрание изображения | 32 floors/360° | |
| Самая быстрая скорость | 0,72 sec/подола | |
| Просматривая визуальное поле | 500mm | |
| Режим передачи данных | цифровая передача | |
| Охлаждая режим | охлаждать ветра | |
| исследователь | Количество строк детектора | Строка 24 |
| Количество блоков детектора в строку | 888 | |
| Общее количество блоков детектора | 21312 | |
| Ширина детектора | 17.6mm | |
| Самая тонкая толщина физического уровня | 0.55mm |
| X- система луча | фокус | Большой: 1.2mmx1.4mm Небольшой: 0.7mmx0.8mm |
| Теплоемкость сферически трубки | 3.5MHU | |
| Тариф тепловыделения анода | 735KHU/min (8750W) | |
| Минимальный выход напряжения тока шарика | 60KV | |
| Ряд напряжения тока трубки шарика | 60KV/70KV/80KV/100KV/120KV/140KV | |
| Течение трубки шарика | 10mA-350mA | |
| Высоковольтная сила генератора | 42KW | |
| Максимальная непрерывная выдержка | 100seconds |
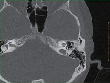
Точный томографический метод
Толщина изображений томографии точности только 0.275mm, и структуры внутреннего уха как
ossicles и улиткаа, и отношение между структурами внутреннего уха ясно видимы, как
соединение malleus и incudis сборников.


Обычное томографическое изображение внутреннего уха

Умное рабочее место медицинского отображения
Согласно международному стандарту DICOM 3,0, само-разработанное рабочее место CIW совершенно исполняет с
стандарты медицинских изображений, включая функции получать, обрабатывающ, анализирующ, управляющ, помещающ в архив
запрашивающ, просматривающ, печатающ стандартный выход формата изображения, сочинительство отчета и так далее. В то же время, CIW также
содержит много других предварительных клинических применений.
